News aus dem Oktober
Liebe Aspa-Freunde, liebe Leser,
heute müssen wir Euch von unserem Pflegegalgo Loto berichten. Der hübsche Kerl ist wahrlich ein Pechvogel. Kurz vor der Adoption hat er sich nämlich beim Spielen und Toben sein rechtes Vorderbein gebrochen. Elle und Speiche waren beide frakturiert und dissloziiert und mussten notfallmäßig operativ mit einer Platte versorgt werden. Das hat natürlich mit 2200 Euro ein ordentliches Loch in unsere Tierschutzkasse gerissen. Weitere Kosten stehen noch aus, da die Platte wieder entfernt werden muss. Allerdings ist Lotto wirklich ein ganz braver Patient.

In Spanien hat sich ein zweiter Pechvogel massiv verletzt- der arme Hispano. Kurz vor Einsteigen in den Transport (um endlich in ein liebes, warmes Zuhause zu reisen) hat er sich die Pfote aufgerissen, die sofort in der Tierklinik versorgt werden musste. Damit war natürlich eine Reise nicht mehr möglich. Zum Glück wartet sein zukünftiges Frauchen sehnsüchtig auf ihn.

Er hatte jedoch Glück im Unglück, denn die Sehnen blieben heil. So gestaltet sich die Heilung etwas langwierig, aber letztenendes komplikationslos.
Doch zwei unserer Vierbeiner wurden von ihren Schutzengeln verlassen. Der kleine Aslan hatte einen massiven Schub vermutlich einer autoimmun bedingten Darmerkrankung.

Trotz intensiver Therapie in der Tierklinik hat er es der kleine Mann nicht geschafft...
Was mit dem kleinen Twister passiert ist, weiss nur der Himmel. Er lag morgens wie schlafend in seiner Hütte. Der Tierarzt vermutet am ehesten einen angeborenen Herzfehler.

Seinen Geschwistern geht es allen gut, sie wachsen und gedeihen prächtig. Zu traurig, dass der kleine Mann kein besseres Leben erleben durfte.
Glück hatte die kleine Rosa- rechtzeitig wurde das arme humpelnde Mädchen entdeckt.

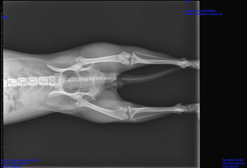
In der Tierklinik wurde dann eine Patellaluxation diagnostiziert.

Vermutlich kann Rosa nächste Woche operiert werden.
Facebook-Auktion
Für alle unsere Notfälle möchten wir nun eine neue Facebook-Auktion starten. Das ist auch für euch eine einmalige Gelegenheit, schon das ein oder andere kleine Weihnachtsgeschenk zu finden. Seid Ihr kein Fan von Facebook und möchtet uns trotzdem unterstützen, so schaut mal in unseren Shop. Bezüglich der Schmuckstücke erfühle ich Euch auch gerne individuelle Wünsche.
Wollt Ihr unsere Auktion bereichern, weil Ihr noch einiges (neue ungetragene Kleidungsstücke, Taschen, Schuhe, Modeschmuck,Hundeequipement usw.) Zuhause habt, dann könnt Ihr uns die Artikel per Post zusenden und wir stellen diese sehr gerne in die Auktion rein. Also schaut unbedingt mal rein. Die Auktion hat am 31.10.21 begonnen und endet am 14.11.21.

Weitere Infos könnt Ihr unter info_at_aspa-ev.de erfragen. Der gesamte Erlös kommt direkt unseren vierbeinigen Patienten zugute.
In der Perrera gab es gestern einen besonderen Fund. Als die Mitarbeiter morgens zur Perrera kamen, stand diese Papiertonne vor der Türe- darin drei kleine Galgowelpen ca. 5-6 Wochen alt.


Sie werden nun untersucht und ordentlich gepäppelt. In unserer Namensauktion werden die drei Bübchen dann hoffentlich wunderschöne Namen bekommen.
Vorletztes Wochenende haben es wieder 28 vierbeinige Unikate geschafft in ihr Fürimmerzuhause oder in eine liebe Pflegefamilie zu ziehen. Sei es die lustige, quirrlige Ana,

der wunderschöne Opalo

oder Bambu

der es geschafft hat, einem tragischen Schicksal an der Kette zu entkommen. Paula, die Ulknudel,

Divina, die Schüchterne,

die ganz langsam entdeckt, dass das Leben schön ist. 28 wunderbare Hunde, die sich nun auf ein artgerechtes und schönes Leben freuen dürfen.
Post haben wir von Tulips Herrchen bekommen. Tulip ist ein echtes Talent. Zum einen geht sie zusammen mit Herrchen arbeiten, denn Tulip wurde zum Therapiebegleithund ausgebildet.

Außerdem ist sie eine einzigartige Sportlerin mit bereits großen Erfolgen.

Und im Urlaub,

da darf sie natürlich auch nicht an der Seite ihres Herrchens fehlen. Ein ganz tolles Mensch-Hund-Team wie ich finde.
Dann wollen wir Euch mit Angeles und ihrer Bande (Pflegehündin Fatima)

und dem kleinen Milu

einen schönen und nicht zu gruseligen Halloween-Abend wünschen
Eure Kirsten und das gesamte Team von Aspafriends e.V.







