Garfio, Rüde
wartet in
*** Albergue Villarrobledo/ Spanien (ES)
- RESERVIERT -
- Rasse: Mischling
- Geboren: 11.2022
- Größe: 52cm (07.23)
- Charakter:
lieb& sozial, Junghundtypisch verspielt, sehr menschenbezogen - Katzenfreundlich: kann getestet werden
- Kinderlieb: keine Angaben
- Kastriert: noch nicht
Ansprechpartner und Telefon:
Annika Meister
Mobil: 0152 / 08591449
E-Mail: vermittlung_at_aspa-ev.de
Helft mit und teilt den Steckbrief auf facebook!
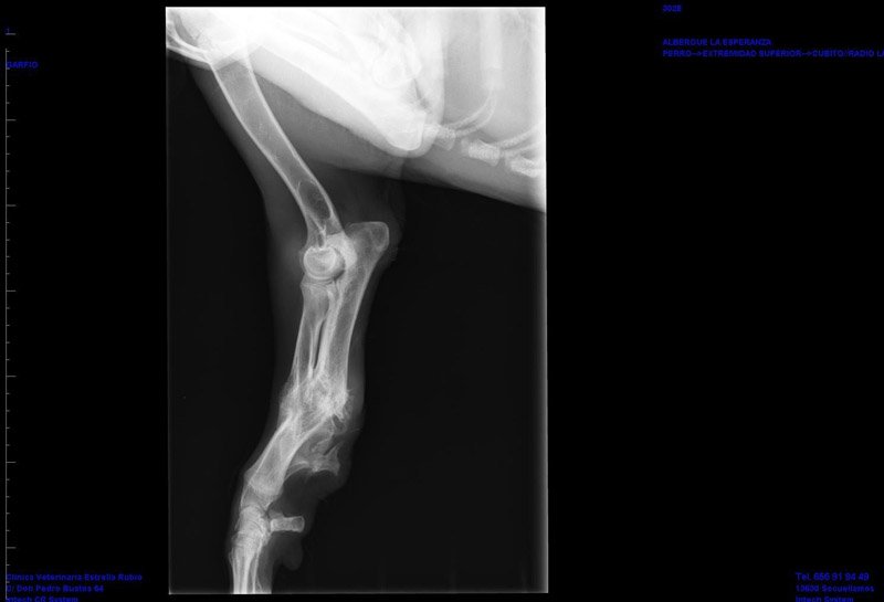
Garfio wurde auf einem Feld gefunden, wo er nach Futter und Wasser suchte. Er hat keinen Chip und niemanden, der ihn vermisste. Der junge, liebevolle Rüde hatte vermutlich als Welpe einen Unfall bei dem er sich sein Vorderbein gebrochen hat. Es ist etwas schief wieder zusammengewachsen, aber Garfio kann damit laufen und spielen wie jeder andere. Es muss sehr schmerzhaft für ihn gewesen sein, aber heute hat er keine Probleme mehr damit. Man mag sich das gar nicht vorstellen, ein noch so junger Hund erlebt so etwas schlimmes und niemand hilft, bringt ihn zum Tierarzt oder kümmert sich um ihn. Garfio sucht eine liebevolle Familie, denen sein kleiner Schönheitsfehler nicht stört und die ihn auch damit lieb haben, denn das hat der liebe und sehr menschenbezogene Strubbelrüde sehr verdient.
Wir suchen eine hundeerfahrene Pflegestelle oder Adoptionsfamilie die Geduld, Ruhe und Verständnis hat, Garfio in der Eingewöhnungsphase souverän zu begleiten und vor allem anzuleiten. Artgerechte Auslastung, Erziehung, Spaziergänge in der Natur, Kontakt zu netten Artgenossen und Schmusezeit mit lieben Menschen werden dazu beitragen, dass Garfio seine mehr als verdiente Chance bekommt, ein wunderbares Familienmitglied für Sie werden zu können. Wir bemühen uns gemeinsam mit dem spanischen Team, die Hunde gut kennenzulernen und das Verhalten im Tierheim zu beschreiben. Trotzdem können sich manche Hunde in der ersten Zeit in der neuen Familie, temporär anders im Verhalten zeigen als im Text beschrieben. Die Hunde müssen hier bei uns in Deutschland mit vielen neuen Eindrücken, fremden Hunden und unbekannten Menschen zurechtkommen und diese kennenlernen. Bitte geben Sie den Hunden immer die Zeit, die sie dafür brauchen! Bei Fragen wenden Sie sich bitte an unser Team - Wir beraten Sie sehr gerne unverbindlich und fordern gerne weitere Informationen in Spanien bei unserem Team vor Ort an.
Video im Hochformat: Garfio, junger Mischlingsrüde wünscht sich eine liebevolle Familie - Eindrücke aus unseren Albergue








